New study finds brain cancer surge in gen X
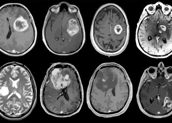
A new study says that people born between 1965 and 1980, called Gen X, are getting ...
Read moreDetailsA new study says that people born between 1965 and 1980, called Gen X, are getting ...
Read moreDetailsCampaigners emphasized that any advancement must stay affordable and accessible as the U.K. government on Friday ...
Read moreDetailsGet daily/weekly tech updates, exclusive insights, and breaking news delivered directly to your inbox.

Since 2019, TechX Pakistan has been revolutionizing local tech and social blogging. We bring the latest news, interviews, and events on global and local advancements.
Join us in exploring IT startups, business insights, and social media trends. Celebrate and drive the tech evolution with us!
© 2025 TechX.pk - All right reserved